Real results from real patients. See the transformations we’ve achieved at Monkfield Dental β from smile makeovers to life-changing implant treatment.
Every smile tells a story. These cases represent the range of treatments we offer at our Cambourne practice β from single-visit cosmetic bonding to complex full-arch rehabilitation with dental implants. All photos are shared with our patients’ full consent.
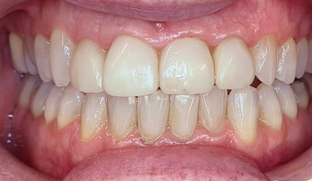
Anthony Clarke
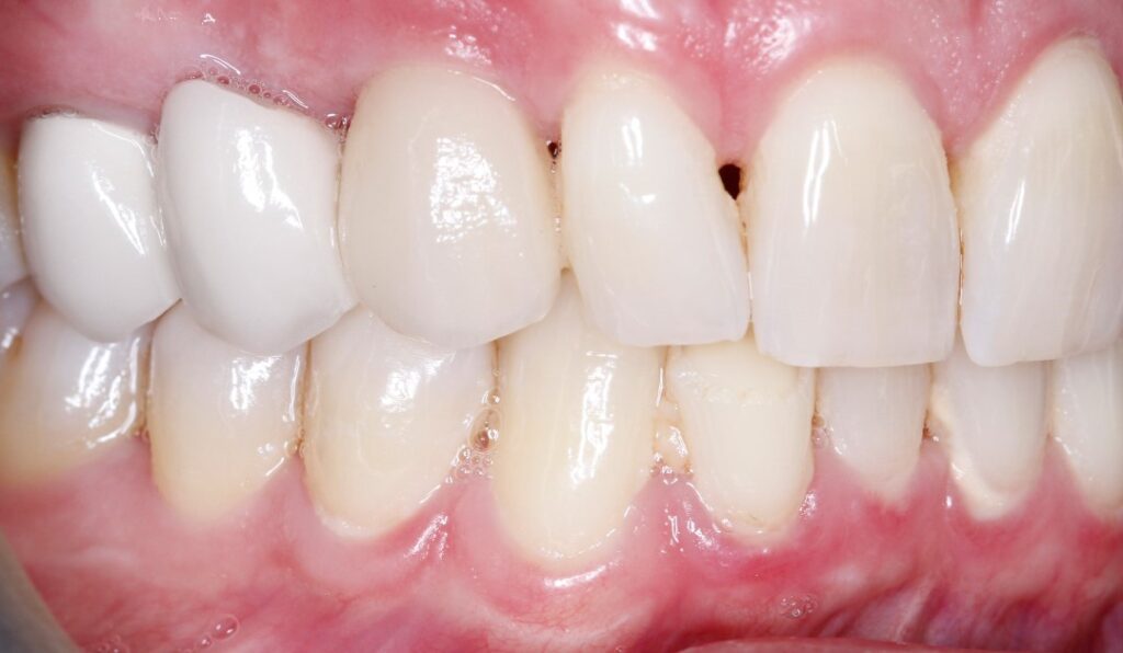
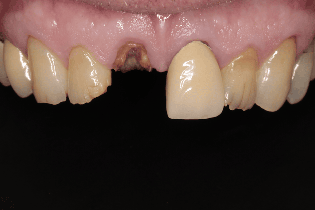
Following the loss of an upper canine, we placed a dental implant immediately at the time of extraction β preserving the surrounding bone and avoiding any prolonged gap in the smile. The restoration was completed with a custom porcelain crown,…
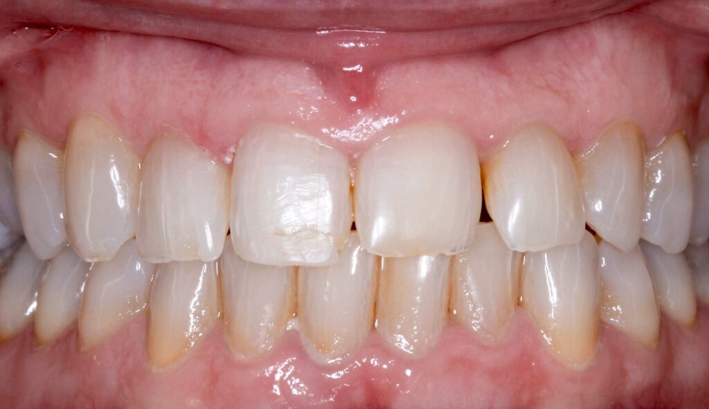
Gaps, chips, or uneven teeth don’t always need invasive treatment. Using direct composite bonding, we reshaped and refined this patient’s smile in a single visit β no drilling, no tooth removal, completely reversible. The composite resin is carefully sculpted and…
Patient presented with failing upper dentition and loose dentures. Full arch rehabilitation with 4 implants and a fixed zirconia bridge, restoring full function and confidence.
π
Patient consent & privacy
All before and after photos are shared with the full written consent of our patients. Images are anonymised and patients can request removal at any time. We’re committed to protecting your privacy.